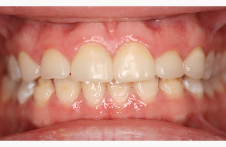
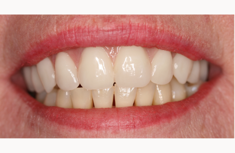
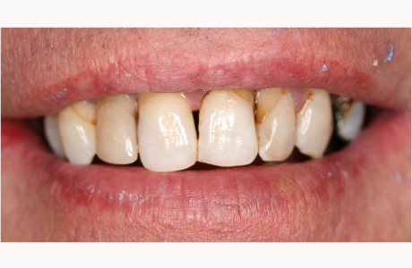
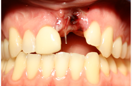
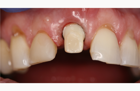
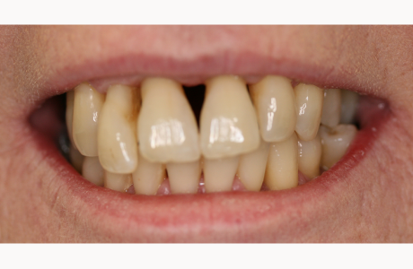
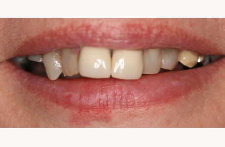
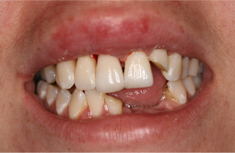
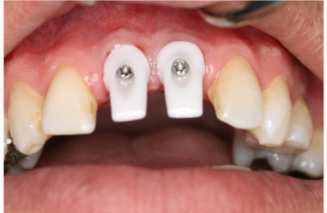
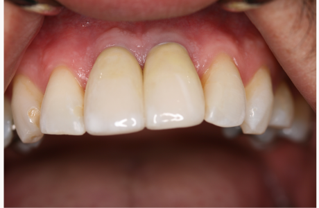
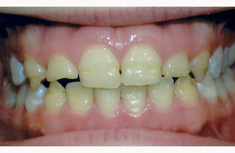
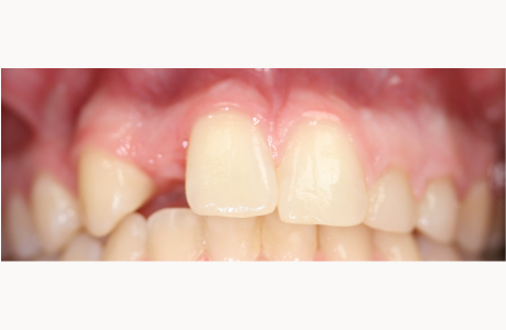
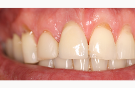
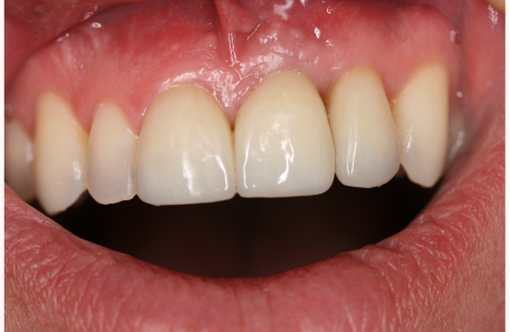
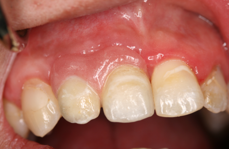
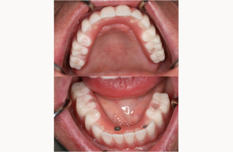
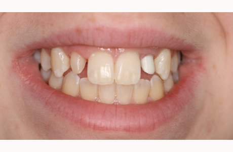
Before: Patient presents with front teeth having a congenital anomaly.  After: Patient treated with bleaching, four crowns, and two veneers.  Before: Patient presents with fractured teeth, discoloured teeth, and old crowns.  After: Patient treated with seven crowns and one bridge.  Before: Patient displays a right 'peg' lateral incisor and a left implant post.  After: Patient treated with a tooth-supported crown and an implant-supported crown.  Before: Patient presents with old crowns and an old partial denture.  After: Patient treated with new crowns and a new partial denture.  Before: Patient presents with a missing right lateral incisor, a 'baby' left lateral incisor, and a 'baby' left canine.  After: Patient treated with braces and three implant-supported crowns.  Before: Patient presents with dental trauma.  After: Patient treated with two bridges      supported by a total of six implants.  Before: Patient presents with upper teeth having minimal bone support.  After: Patient treated with a fixed detachable prosthesis supported by five implants.  Before: Patient presents with a fractured bridge and failing top teeth.  After: Patient treated with a fixed detachable prosthesis supported by five implants.  Before: Patient presents with heavily restored teeth having poor bone support.  After: Patient had four implants placed in each jaw (All-on-Four) immediately after the extractions.  After: Patient had teeth connected to the implants on the same day of implant placement (Same-Day-Teeth).  After: Patient photographed with definitive fixed detachable prostheses six months after surgery.  Before: Patient displays an implant post in the right central incisor position.  After: Patient displays definitive implant-supported crown.  Before: Patient displays two implant posts in the central incisor positions.  After: Patient displays two implant-supported crowns (retracted lip).  After: Patient displays two implant-supported crowns (normal exposure).  Before: Patient presents with old crown on right central incisor, recently extracted left central incisor, and short lateral incisor.  After: Patient treated with orthodontics, bleaching, a tooth-supported crown, an implant-supported crown, and a veneer (retracted lip).  After: Patient treated with orthodontics, bleaching, a tooth-supported crown, an implant-supported crown, and a veneer (normal exposure).  Before: Patient presents with a high lip line and implants placed in an area of deficient bone.  After: Patient treated with splinted crowns having pink porcelain to replace the missing gum tissue.  Before: Patient presents with worn teeth.  After: Patient treated with nineteen crowns, a tooth-supported bridge, and two direct resin onlays.